See the
Smiles

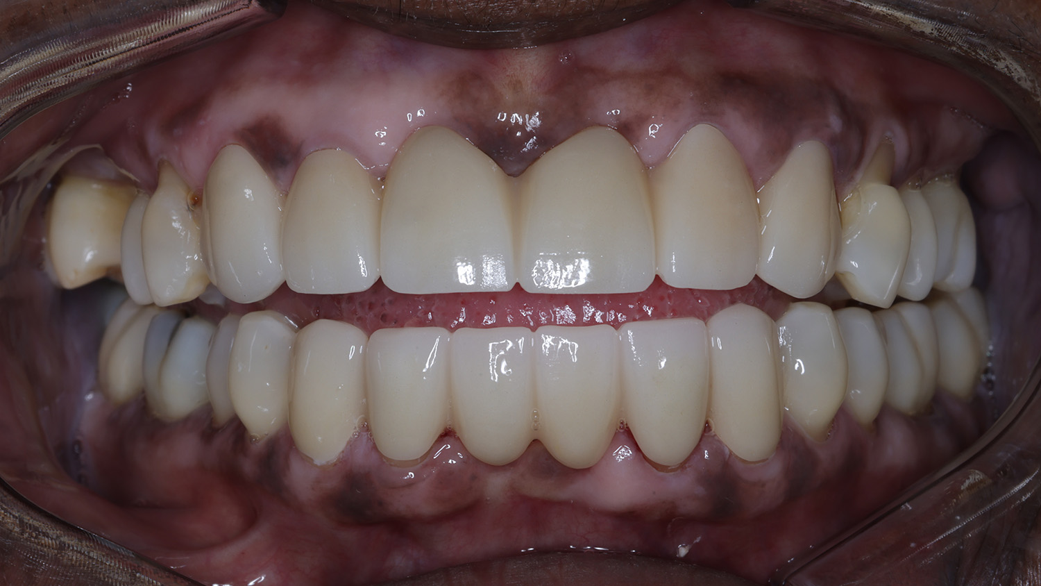
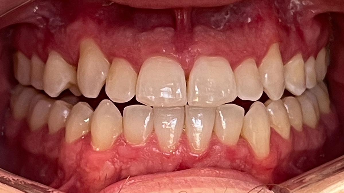
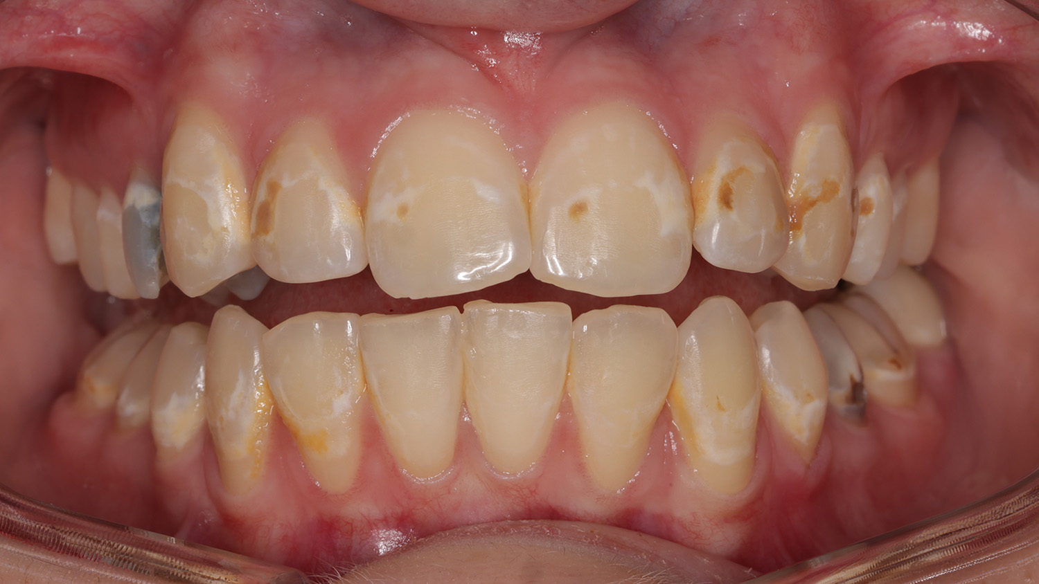
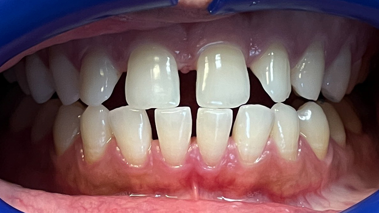
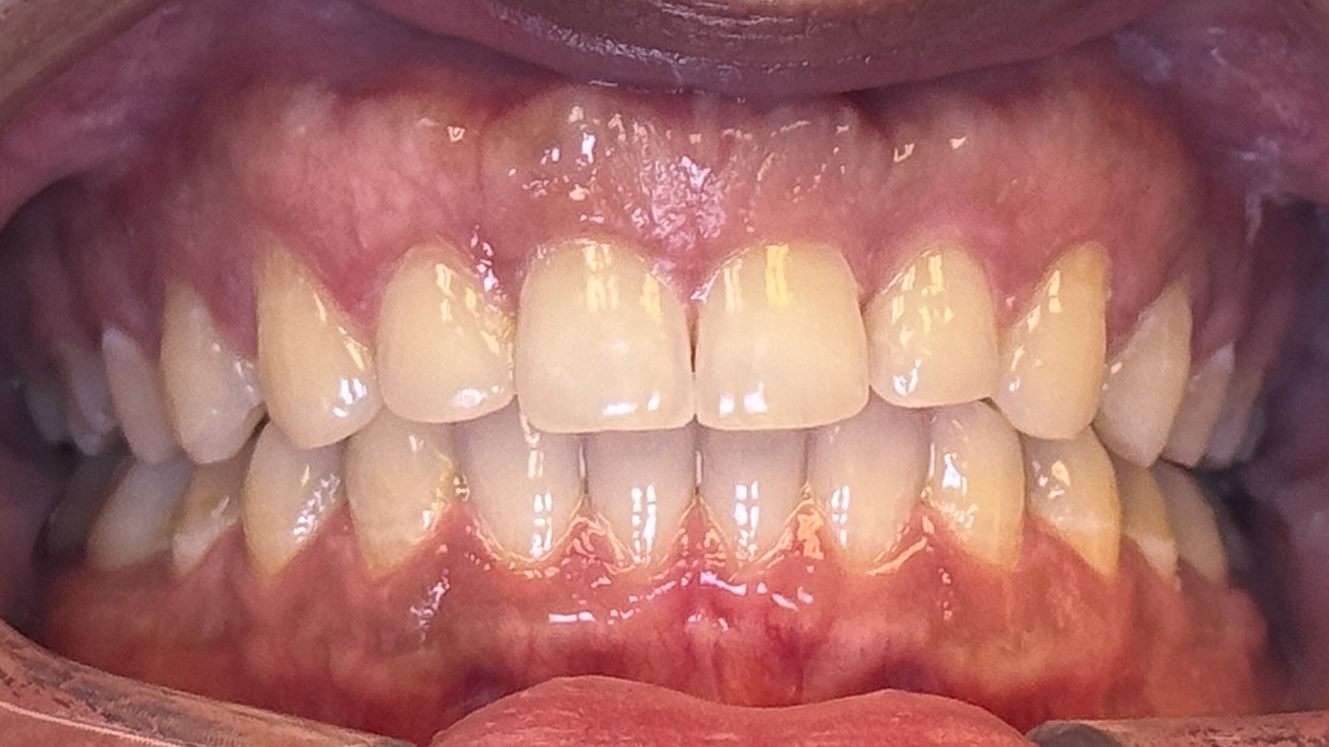
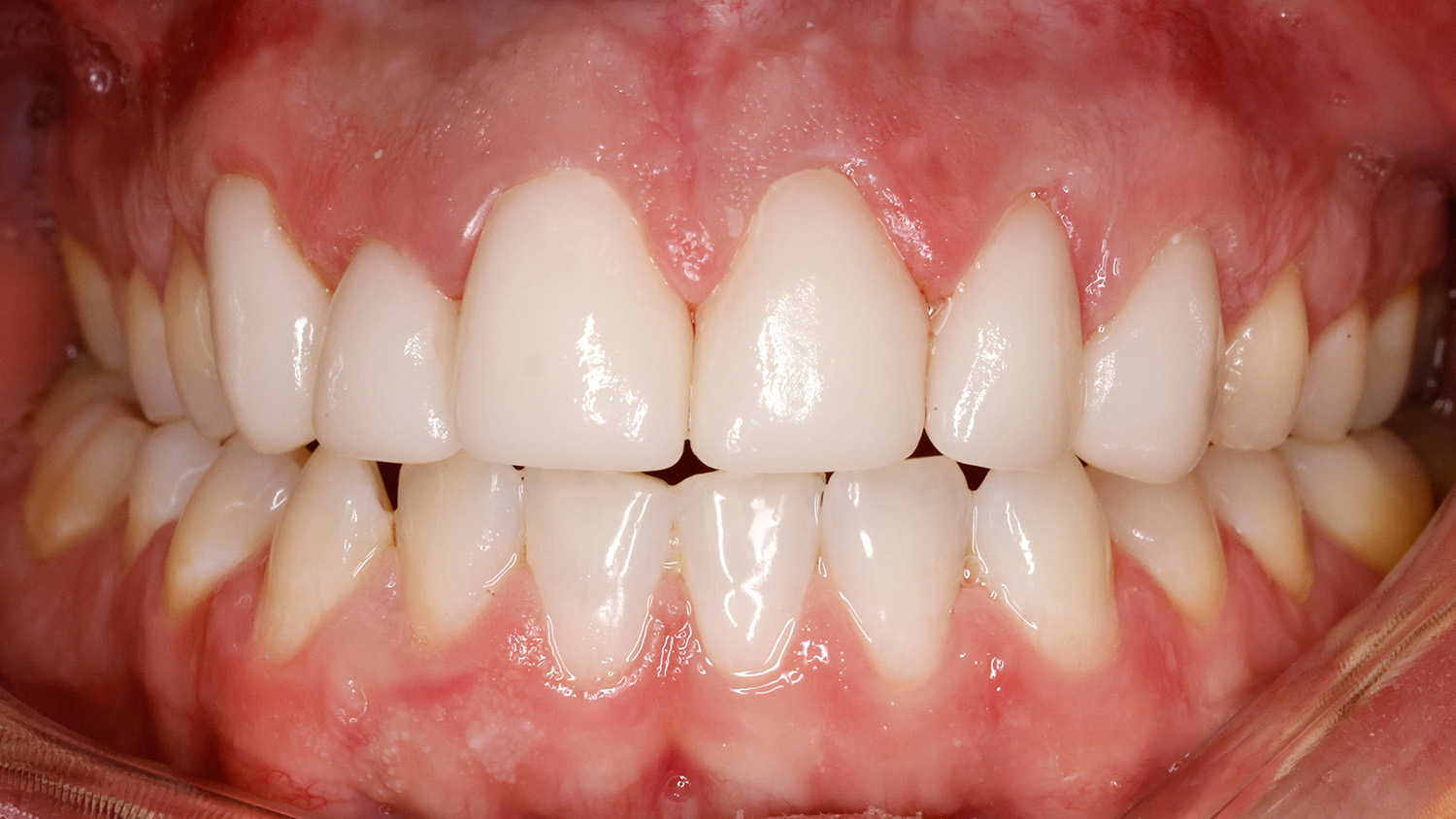
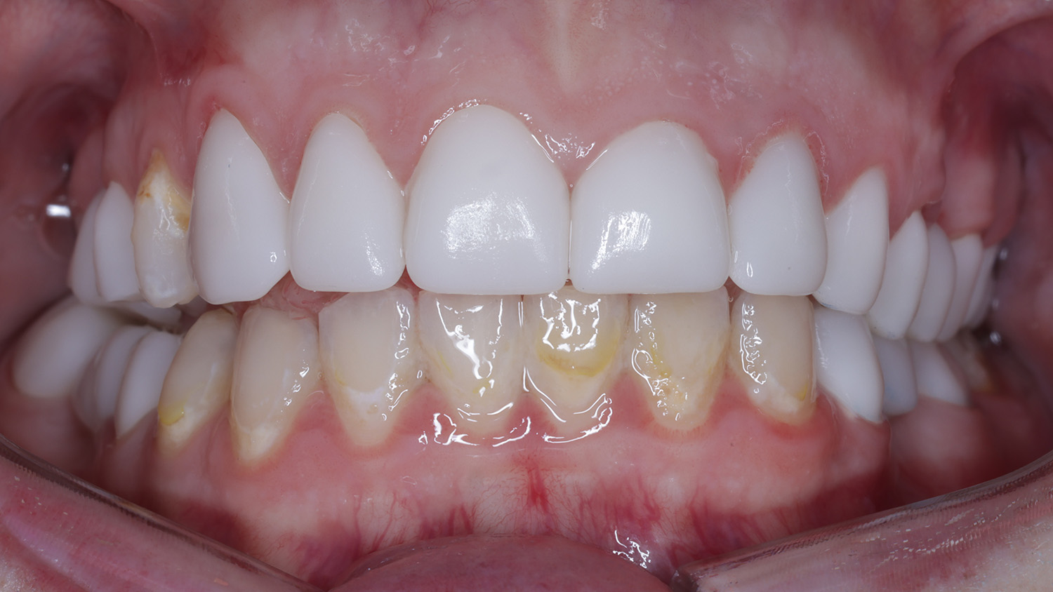
Smile Transformation in Little Rock, AR

Smiling girl sitting in a dental chair holding a toothbrush and a dental model of teeth.

Health. Confidence.
Transformation.

Creating healthy smiles to boost
confidence and change lives.

Connect With

Us

Call (501) 232-6273 or request an appointment online to set up your first visit. We’ll be in touch soon.