
January 6, 2020
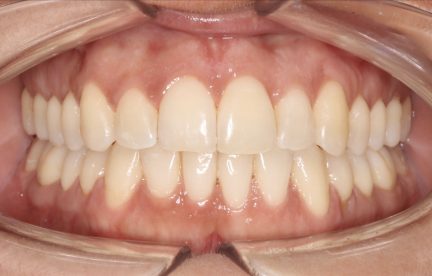
Invisalign aligners work almost the same as traditional braces but with several key exceptions. Compared to the traditional braces, Invisalign gives you perfect teeth alignment in less time. In fact, it helps you get results in half the average time it takes for braces to work, and you can join the happy list of people showing off their new smiles.
If you’re still conflicted between Invisalign and braces, here are a few more reasons why Invisalign should be your go-to teeth alignment option.
Invisibility
Unlike braces, the Invisalign trays are clear and almost invisible, giving you the privacy you need when correcting your dental alignment. Invisalign is especially good when you want to fix your smile as an adult, since concealing the process is a plus to your confidence.
Comfort
Invisalign works by gradually adjusting the teeth to the desired line. The trays don’t exert unnecessary pressure on your teeth, making them comfortable to use. They also come with a smooth end, which ensures that they don’t harm your gum or cheek.
Compared to braces that attach metal wires to your teeth, causing discomfort on your gum and cheeks, Invisalign is made to increase comfort. Moreover, compared to braces, it requires fewer dental visits, so there’s no need to worry about frequent and uncomfortable visits.
Easy cleaning before and after meals
Maintaining good oral hygiene can become difficult during the alignment process, with diseases such as periodontal disease becoming an unfortunate side effect. Where braces can complicate your oral hygiene routine, Invisalign trays can be easily removed to allow for easier brushing and flossing. Also, the fact that the trays can be removed allows you to comfortably enjoy your meals without restriction.




Can Invisalign fix an overbite?
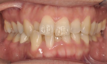
Overbites are some of the most common dental disorders, especially among children. Whether your child’s teeth jut out or overlap to create an overbite, Invisalign can realign the jaw or shift the teeth to correct the problem. Invisalign can also fix the problem in less time and be more comfortable than standard braces.
Alignment procedure
First, your dentistwill take a 3D image of your teeth alignment. This image will help get an impression of your teeth for your retainers. The clear aligners will then be fitted in your mouth to gradually align your teeth to your desired alignment.
Maintenance
To heighten their effectiveness, you’ll be expected to wear the aligners for about 20 to 22 hours a day, and follow simple maintenance procedures from your dentist. The trays will be replaced every two weeks for one year to give you the smile you want.
Just like your natural teeth, Invisalign aligners require good hygiene. Here are some of the simple ways to care for your aligners.
Cleaning
Once the aligners are fitted, you’ll want to brush your teeth, and clean the aligners after every meal. To clean them, you only need lukewarm water and your normal toothbrush and toothpaste. You’ll also want to avoid hot water, as high temperatures may deform the aligners, and interfere with your treatment.
Storage
Your aligners will come with a storage case, so it helps to clean it occasionally. If you’re not wearing the aligners immediately after cleaning, place them on the storage case to dry in a safe place. Remember that you’re required to wear the aligners for 20 to 22 hours a day for better results. Soon enough, your Invisalign efforts will start paying off.
A flawless smile helps you express your happiness the way you want to. If you need teeth alignment services or need more information about how Invisalign works, contact Arkansas Family Dental at (501) 683-8886, and let us help you restore your confidence with a flawless smile.
Call (501) 232-6273 or request an appointment online to set up your first visit. We’ll be in touch soon.