
August 24, 2021
Losing a tooth is often a frightening experience. Most people will immediately worry about their appearance. Later, the physical toll of missing teeth will become apparent as there is a reduction in function. This concern over the cosmetic impact of tooth loss is understandable considering it can affect social life and activities. This is where restorative dentistry can save the day and your smile in the form of dentures or dental implants.
Interestingly, approximately 120 million Americans are missing at least one tooth and this number is expected to grow. Dentures account for a majority of tooth replacements, as the technology has been around for thousands of years. However, they do have their shortcomings and are not the right choice for all instances of missing teeth. On the other hand, dental implants offer many benefits, both cosmetically and physically.

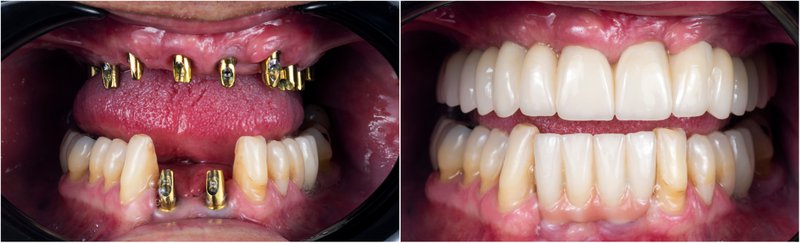
Dental implants are artificial tooth roots implanted into the jaw that serve as support for one or many artificial teeth. They can also serve as anchors for removable teeth such as dentures. Dental implants are the closest in structure to natural teeth. Unlike crowns or dentures, they also help promote healthy teeth, gums, and jawbone.
Missing teeth often create a ripple effect around the mouth. Surrounding teeth tend to shift or move out of their original places. Meanwhile, the gums recede while the jaw bone near the missing tooth begins to deteriorate. An added advantage of dental implants is that they preserve bones and even stimulate their growth.
Dental implants assume the function of normal teeth. The technology has been around for over 30 years and offers an implantation success rate of around 98%. It remains one of the safest procedures in dentistry. As a result, implants can immediately assume the functions normally associated with natural teeth. In addition, it provides benefits that healthy pearly whites bring day in and day out. These include the following:
Implants will look and feel just like natural teeth. Most people won’t recognize the difference between implants and the real thing. Even when taking care of them, you’ll only need to continue the usual oral health care routines: brush, floss, and get regular dental checkups and cleanings.
With proper care, dental implants can last a lifetime. While this option can cost a lot upfront, it virtually pays for itself by lasting for decades. This is in contrast to dentures, crowns, and other dental prostheses that require replacing every now and then.
Dental implants remain the only treatment that helps prevent bone loss. A healthy jawbone retains the facial shape for a longer period even as you age. This helps prevent the aged look caused by a deteriorating jaw as well as unhealthy gums. It also maintains a healthier smile for years and years.
Unlike crowns, veneers, and especially dentures, dental implants won’t slip or move out of place when you perform regular activities. As they function like normal teeth, you can eat virtually any kind of food you used to enjoy. Plus, hard laughter and passionate kissing won’t dislodge implants which might not be the case with dentures. In addition, talking becomes more natural when wearing implants instead of dentures.
If you’re missing a tooth and want the best option to replace it, consider getting a dental implant. It’s an even better option if you’re missing a succession of teeth, as implants can support bridges aside from individual artificial teeth. Dental implants are also a viable option for patients who prefer to retain their facial shape, maintain their eating lifestyle, and want to regain their confidence when smiling and talking. In addition, this option is often the most cost-effective solution out there.
Dental implants are also an excellent option for patients who experienced discomfort with using dentures. As dentures conform to the gums, any changes to gum health
and density can affect the fit. Implants are also the best option to restore teeth while retaining the jaw structure and maintaining the face’s shape.

Is simply missing one or more teeth enough to qualify for a dental implant? Unfortunately, the answer is no. There are other considerations that dental professionals will look into before considering a patient for dental implants. They include the following factors:
While children and adolescents often lose teeth, they won’t automatically qualify for this procedure. Dental implants will require patients to complete their growth development to ensure that any implants will stay in their location. This is why implants are recommended for females 16 years old and above and males 18 years and above. The ages mentioned are the usual age where the human body completes its development.
Further health evaluations will be required for patients who have a previous record of conditions detrimental to the jaw. Heavy smokers, sufferers of chronic disorders such as diabetes, and those who underwent radiation therapy may have some issues with their bone health, especially in the head and neck area. As a result, further evaluations will be required by the dental professional before proceeding. Post-procedure, smoking will have to cease in order to help maintain the structure of the bone in the jaw.
Related to the health conditions above, a candidate’s bone structure needs further scrutiny before any approvals are given for implants. Initial tests can show if the target location has enough space and bone to accommodate an implant. A thorough examination can determine if the patient’s bone can support the procedure. For those with borderline cases, additional therapy through bone augmentation or alternative dental implants can be considered before proceeding.

Like most dental prosthetic procedures, it will take a few visits to complete the process. The first phase covers the surgical placement of the implant, where the dentist will make incisions to your gums in preparation for the tooth root implant. Once installed, the dentist closes the gums over the implant.
The second phase happens a few months after the gum fully heals from the previous procedure. By this time, the bone should also grow around the implant, making it more secure. This fusing is called osseointegration, where the titanium root merges with the bone. Once the implant is proven secure, the abutment, or connecting piece, is installed over the implant post. This will serve as the anchor of the new crown. which the dentist will also attach. The dentist usually premakes the crown during the gum recovery period, based on impressions made on teeth.
Once the entire process is completed, the dentist will usually recommend placing the same care and maintenance to dental implants the same as regular teeth. While implants won’t get cavities, they can still be affected by periodontal disease, especially those that weaken the gums.

Dental implants are one of the many expert areas of Arkansas Family Dental. We provide a thorough evaluation of each patient’s oral health condition before making a professional recommendation on what options are available. Call us at (501)381-1620 or shoot us an email at info@arkansasfamilydental.com for more information. Or, visit our website to set an appointment. We’ll be more than happy to talk to you and explore the best oral health care options for your dental needs.

Call (501) 232-6273 or request an appointment online to set up your first visit. We’ll be in touch soon.